En jouant, un chien s’étouffe avec une pierre et est sauvé in extremis par des vétérinaires
Rocky est un Berger Allemand d’Eastbourne (Angleterre) qui adore jouer, mais qui a connu une mésaventure récente en s’amusant à l’extérieur. Il faut dire que Rocky (qui veut dire « rocheux » en anglais) porte bien son nom : ce toutou adore s’amuser avec les pierres, cependant, cette passion a fini par lui coûter cher ! Car un beau jour, le maître de Rocky a découvert que son chien était en train de s’étouffer avec un caillou. Il a alors emmené son animal chez le vétérinaire pour le faire soigner en urgence.
Un jeu innocent qui tourne mal
Tout commence alors que le maître de Rocky, Ioana Tamas, joue avec son chien. Rocky adore s’amuser à attraper les pierres que son propriétaire lance au loin. C’est sa manière à lui de rapporter la balle. Il aime aussi courir à côté des pierres lorsqu’elles roulent sur le sol ou dévalent une pente.
Cependant, emporté par son enthousiasme, Rocky s’est retrouvé avec un caillou bloqué dans une voie respiratoire. « Il n’avait jamais fait quelque chose comme ça auparavant, et ce fut une expérience traumatisante » a raconté le propriétaire du chien à The Argus.
Pourtant, le toutou n’a au départ montré aucun signe d’inconfort. C’est le lendemain qu’il a commencé à tousser et à réellement souffrir.
Ioana a ajouté : « Il avait du mal à respirer, et nous étions très inquiets. » Face à ce constat alarmant, il était vital d’emmener le chien de 4 ans chez le vétérinaire.
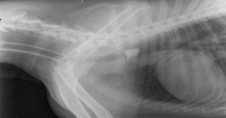
Une opération éclair pour sauver Rocky
Pour soigner Rocky, il a fallu l’emmener dans la ville de Winchester, dans le comté du Hampshire, à quasiment 2 heures de route. Là-bas, c’est la vétérinaire Victoria Neale qui s’est occupée de lui.
Pour retirer le caillou qui faisait suffoquer Rocky, il était crucial de faire preuve de précision. Victoria a donc utilisé une caméra pour localiser le corps étranger, lequel était coincé dans une bronche du toutou, c’est-à-dire dans le tube menant à son poumon. S’il n’était pas retiré rapidement, Rocky risquait de développer des complications respiratoires plus sévères.
.jpg)
© Anderson Moores Veterinary Specialists
Heureusement, l’opération s’est déroulée avec succès et Rocky, qui est un chien costaud, a rapidement récupéré. Cet événement est désormais de l’histoire ancienne et Ioana compte bien faire tout son possible pour qu’un tel drame ne se reproduise jamais.
« Rocky va beaucoup mieux et a retrouvé sa forme habituelle, même si nous ne le laissons plus jouer avec des cailloux » a avoué son propriétaire.
Par Théo Botsidis
Rédacteur web
Depuis tout petit, Théo adore écrire. Maintenant qu’il est rédacteur web, il partage avec plaisir ce qu’il découvre sur le monde des animaux, que ce soit des nouveautés, des guides pratiques, ou tout simplement des histoires touchantes.