Une famille se précipite chez le vétérinaire après que son Bouledogue ait avalé un objet improbable
Nos amis les toutous sont les plus grands experts pour piquer des affaires qui ne sont pas les leurs. Dans leur gueule, ils emportent ce que bon leur semble. Si, en général, ils se contentent de mâchouiller leur butin, il arrive que certains aillent un peu trop loin…
Scène de panique chez les Fisher : leur Bouledogue Anglais, Ronnie, vient d'ingurgiter un canard en plastique ! En effet, ce matin-là, le chipeur s’était introduit dans la chambre de sa petite sœur humaine et avait mis la patte sur le jouet. Le père de famille, Joe Fisher, a raconté pour Metro : « Il a couru directement dans la chambre de ma fille de 9 ans, Edie, a ramassé le canard en caoutchouc qui gisait sur le sol et est redescendu avec lui dans la bouche ».
Sauf que sur le moment, Joe ne s’était pas imaginé une seule seconde que son chien puisse avaler l’objet ! Malheureusement, c’est ce qu'il s'est produit.
« C'était vraiment comme jouer à la pêche au canard »
La famille s’est rendue en urgence chez leur vétérinaire, bien que Ronnie avait l’air d’être totalement indifférent face à la situation : « Nous étions évidemment très inquiets que cela puisse bloquer ses voies respiratoires ou quelque chose comme ça, mais il ne semblait pas du tout dérangé » a raconté son propriétaire.
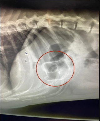
Lorsqu’ils sont arrivés à la clinique Pride Veterinary Center, Ronnie a été endormi par le vétérinaire Debs Smith, lequel craignait que l'objet coincé dans le corps du toutou lui provoque une obstruction des voies respiratoires. Il a effectué une radiographie, qu’il encadrera plus tard dans les locaux du centre.

Sur les images, le canard de bain apparaissait de manière très nette ! C’était une situation complètement insolite. Tandis qu’il pensait devoir opérer l’animal, Debs a finalement pu extirper le joujou à mains nues, à l’aide d’une caméra spécialisée. Au bout de 30 minutes, Ronnie a enfin été débarrassé de son (gros) morceau de plastique et il est rentré le jour même à la maison.
En plus des photos de la radiographie, l’équipe vétérinaire a souhaité conserver le fameux jouet, en souvenir de cette intervention cocasse, qui s’est finalement bien terminée.

Les gestes de sauvetage
Pour rappel, lorsqu’un chien avale un corps étranger, les spécialistes recommandent de lui ouvrir la gueule et de lui faire tirer la langue pour le localiser. S’il n’est pas trop loin, il est possible de le retirer délicatement avec les doigts. Sinon, il est nécessaire de prévenir les secours le plus rapidement possible. Parallèlement, il existe une Méthode d’Heimlich spécialement conçue pour nos amies les bêtes.
Par Fanny Maurice
Rédactrice web
Depuis sa plus tendre enfance, Fanny est entourée d'animaux. Elle partage son quotidien avec un chat nommé Rosie. Actuellement formée en rédaction, elle a commencé à faire ses armes dans le domaine scientifique puis a rejoint le magazine Chien.fr pour partager sa passion des animaux au plus grand nombre.