Les vétérinaires sont face à une opération délicate : ils doivent retirer un bâton de 5cm logé dans l’œil d’un chien sans lui faire perdre la vue
Mia est un Colley de 6 ans. Alors qu’elle jouait sous la haie dans son jardin, elle s’est fait une sacrée frayeur ! Un bâton de 5cm de long est venu se loger dans son œil. Ses propriétaires, paniqués, ont rapidement emmené leur chienne chez le vétérinaire. Ces derniers ont eu la délicate mission de retirer le bâton de l’œil de la chienne tout en lui sauvant la vue.
Les vétérinaires parviennent à sauver la vue de Mia
Après des soins longs et délicats, les vétérinaires parviennent à retirer le bâton sans avoir besoin d'une opération invasive, ne laissant qu'une égratignure à l'œil de Mia. C’est un véritable miracle !

© University Of Edinburgh
Les propriétaires de la chienne sont extrêmement soulagés qu’elle ait conservé la vue et que sa santé ne soit pas impactée.
Une situation inhabituelle
Le docteur Ben Blacklock, ophtalmologiste spécialiste vétérinaire qui a dirigé l'équipe de l'Université d'Édimbourg, nous explique que c'était une situation inhabituelle et assez délicate, mais qu'ils étaient ravis d’avoir réussi et de voir Mia récupérer si rapidement.

© University Of Edinburgh
Un coup de chance
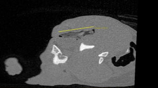
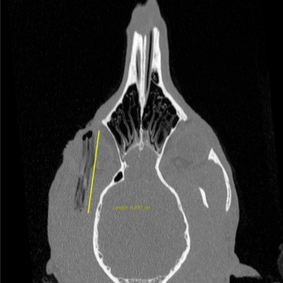
Juste avant les soins, les vétérinaires avaient réalisé un scanner au niveau de l’œil du chien pour mieux se rendre compte de la blessure. Après le scanner, ils se sont aperçus que le bâton était encore en un seul morceau et qu’il était logé juste au-dessus de l’œil de Mia. C’est une véritable chance pour la petite chienne : le bâton est ainsi plus facile à retirer pour les vétérinaires. Ces derniers parviennent à le faire sortir sans encombre.

© University Of Edinburgh
Une équipe dévouée
Le docteur Blacklock prend le temps de remercier son équipe au nom des propriétaires de Mia, depuis les radiologues jusqu’aux anesthésistes, en passant par les infirmiers qui ont veillé à ce que le traitement et la récupération de Mia se déroulent aussi bien que possible.
C'est un véritable soulagement pour les maîtres de Mia et pour les vétérinaires qui ont sauvé la vue de la chienne. La prudence reste de mise pour les propriétaires d'animaux de compagnie, car les accidents peuvent survenir n'importe quand, mais le dénouement heureux de cette histoire montre l'importance d'une intervention rapide et efficace en cas de blessure.
Par Elisa Fille
Rédactrice web
Passionnée d’écriture, Elisa a décidé d’orienter sa carrière professionnelle dans l’univers de la rédaction. Trouvant son inspiration dans la nature, entourée d’animaux, depuis les chevaux jusqu’aux chiens en passant par les rongeurs, c’est tout naturellement qu’elle prête sa plume à Chien.fr pour vivre de ses deux passions.